ब्रश करने के बाद मसूड़ों से खून क्यों आता है? — कारण और उपचार जानना उतना ही जरूरी है जितना कि आपका मुस्कुराता चेहरा। आइए जानते है क्यों आपके gums में खून आने की संभावना बढ़ जाती है, और सही समय पर इसका इलाज क्या हो सकता है। डेंटिस्ट की सुझाव और सचेत उपाय …….
प्रस्तावना – मसूड़ों से खून कारण और उपचार
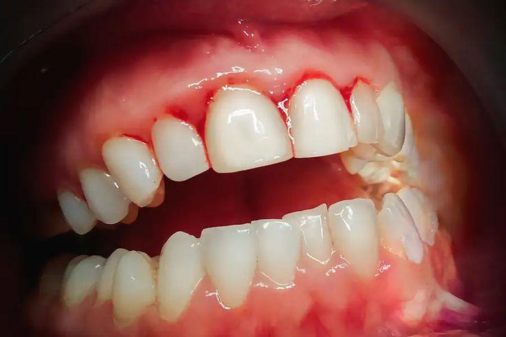
सुबह या रात को ब्रश करते समय अगर आपको मसूड़ों-से-खून आता दिखाई देता है, तो इसे हल्के में न लें।
बहुत से लोग सोचते हैं कि यह “सामान्य” है, लेकिन असल में यह gum disease (मसूड़ों की बीमारी) का पहला संकेत हो सकता है।
डेंटल हेल्थ में एक कहावत है —
“Healthy gums कभी भी खून नहीं बहाते।”
आइए जानते हैं, यह समस्या क्यों होती है और इसका सही समाधान क्या है।
हम चर्चा करेंगे
मसूड़ों से खून आने के कारण (Causes)
1. Gingivitis (मसूड़ों की सूजन)
- बैक्टीरिया और प्लाक जमने से मसूड़े लाल और सूजे हुए हो जाते हैं
- ब्रश करते समय हल्के स्पर्श से भी खून आ सकता है
2. Wrong Brushing Technique
- बहुत ज्यादा जोर से ब्रश करना
- Hard bristles वाले ब्रश का इस्तेमाल
3. Vitamin C और K की कमी
- Vitamin C की कमी से स्कर्वी (Scurvy) रोग हो सकता है, जिसमें मसूड़ों-से-खून आता है
- Vitamin K की कमी से खून जमने की क्षमता कम हो जाती है
4. Hormonal Changes
- गर्भावस्था, किशोरावस्था या menopause के दौरान hormonal imbalance से मसूड़े sensitive हो जाते हैं
5. Medical Conditions
- Diabetes, blood disorders, या कुछ दवाओं के side effects
More information Read also :- Why Brushing Isn’t Enough Anymore — And What Really Works

Click Here to :- दांत के दर्द का रामबाण इलाज: घरेलू उपाय और विशेषज्ञ की सलाह
डेंटिस्ट की राय (Expert Opinion)
डॉ. निखिल अरोड़ा (BDS, MDS – Periodontology) का कहना है:
“अगर मसूड़ों से खून लगातार आ रहा है, तो patient को तुरंत dental check-up करवाना चाहिए। Scaling (दाँतों की गहरी सफाई) और proper oral hygiene से यह समस्या ज्यादातर ठीक हो जाती है।”
उपचार (Treatment)
1. Professional Scaling
- डेंटिस्ट ultrasonic scaler से plaque और tartar हटाते हैं
- मसूड़ों की सूजन कम होती है, खून आना बंद होता है
2. Proper Brushing Technique
- Soft bristle ब्रश का इस्तेमाल
- 45° angle पर हल्के हाथ से ब्रश करें
3. Vitamin Supplementation
- Vitamin C: नींबू, आंवला, संतरा
- Vitamin K: हरी पत्तेदार सब्जियाँ
4. Antimicrobial Mouthwash
- Chlorhexidine mouthwash infection कम करता है (डेंटिस्ट की सलाह से)
- अगर problem systemic disease की वजह से है तो उस condition का इलाज जरूरी है
5.Medical Check-up
अगर problem systemic disease की वजह से है तो उस condition का इलाज जरूरी है
Click Here to :- रूट कैनाल ट्रीटमेंट क्या है? | RCT (Root canal treatment)
Urban vs Rural Treatment
| पहलू | Urban | Rural |
|---|---|---|
| Dentist availability | High | Low |
| Scaling cost | ₹800–₹2000 | ₹200–₹500 (Govt) |
| Govt schemes | NHM, NOHP clinics | Mobile dental vans, govt PHCs |
लागत (Cost in India)
- Govt hospital scaling: ₹50–₹300
- Private clinic scaling: ₹800–₹2500
- Mouthwash और vitamins: ₹100–₹500
Important Notice Points
- ❗ मसूड़ों-से-खून आना normal नहीं है
- ❗ घरेलू नुस्खे (नमक-पानी गरारे) सहायक हैं लेकिन permanent solution नहीं
- ❗ गहरी सफाई (scaling) professional डेंटिस्ट से ही करवाएँ
- ❗ रोज सुबह-शाम brushing और tongue cleaning जरूरी है
यहाँ पढ़ें:- गुटखा से दाँत की सफाई: 5 जबरदस्त तरीके – डेंटिस्ट Vs घर
निष्कर्ष (Conclusion)
मसूड़ों-से-खून आना एक early warning sign है, जिसे नजरअंदाज करना आपके दाँतों और संपूर्ण स्वास्थ्य के लिए हानिकारक हो सकता है। समय पर scaling, सही brushing habit, और balanced diet से आप इस समस्या से बच सकते हैं।
याद रखें — “आपके मसूड़े आपके दाँतों की नींव हैं, नींव कमजोर होगी तो इमारत टिकेगी कैसे?”

1 thought on “ब्रश के बाद मसूड़ों से खून: 7 चौंकाने वाले कारण और उपचार”
Comments are closed.